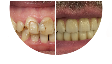
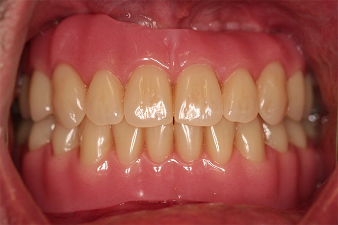
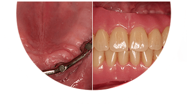
Paciente de 76 anos do sexo masculino
Motivo da consulta: Paciente desdentado total, procurava colocar dentes.
Plano de tratamento: Colocação de 4 implantes superiores e 2 implantes inferiores. Confeção de uma barra superior e colocação de 2 locators® na parte inferior. Confeção de uma prótese superior e outra inferior removível, com encaixes na barra e locators®.
A escolha deste plano de tratamento deve-se ao facto de o paciente querer uma solução total, mas não completamente fixa, uma vez que não tinha muita destreza manual para higienizar uma prótese fixa. Desta forma, conseguiu uma solução bastante retentiva (devido aos encaixes) mas que consegue remover para uma higienização correta.










Responsabilidade Social
Lorem ipsum dolor sit amet, consectetur adipiscing elit, sed do eiusmod tempor incididunt ut labore et dolore magna aliqua.
Ut enim ad minim veniam, quis nostrud exercitation ullamco laboris nisi ut aliquip ex ea commodo consequat.
Duis aute irure dolor in reprehenderit in voluptate velit esse cillum dolore eu fugiat nulla pariatur.
Excepteur sint occaecat cupidatat non proident, sunt in culpa qui officia deserunt mollit anim id est laborum